+918048035600
Currently it only shows your basic business info. Start adding relevant business details such as description, images and products or services to gain your customers attention by using Boost 360 android app / iOS App / web portal.

# Dental Caries: Progression, Sequelae, Prevention...
View Details
Introduction: Dental caries, commonly known as t...
View Details
#scaling #oralprophylaxis #teethcleaning #scaling&...
View Details
Dentist for Tooth Filling in Noida Extension | P.D. Dental Clinic
View Details#zirconiumcrown #allceramiccrown #aesthetic dentis...
View Details
#Dentalcrown #Pfmcrown #zirconiacrown #emaxveneers...
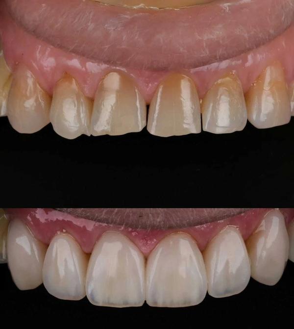
View Details#smiledesign #aesthethicdentistry #emaxveneers #em...
View Details
#Dhanteras #HappyDhanteras #FestivalOfWealth #Dhan...
View Details